Kto by nechcel mať krásne, žiarivo biele zuby bez kazov, však? Už odmalička nám rodičia zakazovali sladkosti, aby sa nám nepokazili zuby a nútili nás piť veľa mlieka, aby nám ich, naopak, zachránilo. Je teda jasné, že potraviny majú nejaký vplyv na naše zuby a nie je to iba výmysel našich rodičov. Ktoré potraviny najviac škodia našim zubom a ktoré im, naopak, prospievajú?
Dnes už vieme, že každá jedna potravina má vplyv na naše telo, na každý jeden orgán. Preto sa častejšie dočítate, čo jesť a čo nejesť, aby ste boli zdraví, než to, čo iné pre svoje zdravie môžete spraviť. A my sme si pre vás pripravili zoznam potravín, ktoré ovplyvňujú zuby. Čítajte ďalej a dozviete sa, ako mať krásny úsmev.
Nestačí iba vynechať tieto potraviny či zvýšiť ich prísun
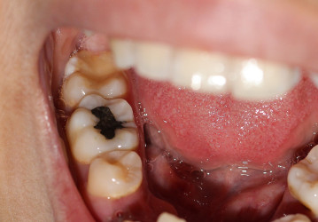
Potraviny ako také nemajú konkrétny význam pre naše zuby. Nikde sa napríklad nedočítate, že vyprážaný rezeň so zemiakovou kašou negatívne vplýva na náš chrup. Dôležité sú jednotlivé látky, ktoré sa v konkrétnom jedle nachádzajú. Ich hlavným účinkom je podpora tvorby kazu, poprípade zápalu alebo účinkujú presne naopak. Kaz vzniká z rôznych príčin, ktoré sa musia spojiť. Je to v prvom rade spoluúčasť baktérií a sladkého, no dôležitá je aj hygiena. Hygienou sa nemyslí iba to, že si zuby umyjete dvakrát denne, ale aj to, akú kefku alebo pastu používate a hlavne, akým spôsobom si zuby čistíte.
Je teda jasné, že keď sa dozviete, ktoré potraviny sú nežiadúce pre naše zuby, presnejšie pre sklovinu, ktorá sa nachádza na ich povrchu, nestačí, ak ich konzumáciu iba obmedzíte. Musíte rovnako dodržiavať správnu hygienu, ale o tom nabudúce... Pozrite sa na zoznam škodlivých a prospešných potravín pre naše zuby!
Musíš vidieť: Svieži dych a pekný chrup? S týmito tipmi to máš v malíčku!
Škodlivé potraviny pre naše zuby
V prvom rade sa pozrieme na tie škodlivé potraviny. Ide väčšinou o nápoje, ktoré mimoriadne škodia sklovine a doslova ju naleptávajú. Ak si ráno radi doprajete čerstvú šťavu z citrónov, bez vody, tak robíte obrovskú chybu. Možno tým zachránite svoju imunitu alebo niektorý z orgánov a nakopnete celý metabolizmus, no pre zuby to je poriadna facka. Šťava z citrusov, presnejšie kyselina citrónová v nich, dokáže naleptať povrch skloviny a pokiaľ si po vypití nápoja ešte zuby umyjete, môžete sa tešiť na poriadnu skazu. Kyselina citrónová svojím pôsobením poruší štruktúru skloviny a vy ju pomocou mechanického čistenia rozrušíte úplne. A teraz pozor, rovnako ako kyselina z citrónu, pôsobia aj kyslé uhorky, ktoré obsahujú podobnú kyselinu!
Podobne to je i so sladkými limonádami. Tie obsahujú nadmerné množstvo cukru, ktorý je hlavnou potravou pre baktérie v ústach. Práve baktérie, posilnené cukrom, sa podieľajú na tvorbe kazu. A to platí hlavne o kole alebo kofole, ktoré dokážu zub zničiť oveľa viac, než citrón. Ak sa teda nechcete vzdať ani citrusovej šťavy ani sladkých nápojov, snažte sa vždy neutralizovať pH pohárom vody a určite si po pití neumývajte zuby. Ideálne je však tieto nápoje obmedziť na úplné minimum, v prípade citrónovej šťavy ju vždy piť spolu s vodou.
Ďalšou zaujímavou kapitolou je káva, čaje a alkohol. S čajom a kávou je to podobne ako s predchádzajúcimi nápojmi. Rozdiel je v tom, že káva nepoškodzuje príliš zuby, iba ich sfarbuje. Odporúča sa preto umývať si zuby až po rannej káve, pretože povlak, ktorý sa za noc vytvoril, dokáže ochrániť zuby pred možným poškodením či sfarbením. To platí aj o čaji. Víno, predpokladajme, málokto pije hneď po prebudení, no jeho zafarbovacie účinky sú rovnaké ako pri káve. Červené víno obsahuje chromogény, ktoré majú silné účinky na našu sklovinu – spôsobujú škvrny. Pokiaľ si teda neviete predstaviť život bez jedného z týchto troch nápojov, zvýšte a zlepšite hygienu. Podobne to je i pri bielom víne, ktoré nesfarbuje zuby, ale obsahuje kyselinu, ktorá dokáže pomôcť škvrnám z jedla a pitia, preniknúť hlbšie.
Poslednými neželanými sú, samozrejme, sladkosti. Medzi najhoršie však patria cukríky. Tie žuvacie sú typické „vyťahovače plômb“ a nebezpečne sa lepia na zuby, ale cmúľacie na tom nie sú o nič lepšie. Nakoľko ich cmúľame oveľa viac, cukry v nich obsiahnuté sa môžu kontinuálne a nenápadne uvoľňovať po dlhší čas. Možno vás prekvapíme, ale i keď uprednostňujete slané pred sladkým, nie ste v bezpečí. Aj slané krekry či soletky obsahujú sacharidy, ktoré sa podieľajú na tvorbe zubného kazu.
Neprehliadni: Zubný amalgám: Je naozaj nebezpečný? Prečo by sa nemal používať?
Prospešné potraviny pre naše zuby
Teraz polichotíme našim rodičom a dáme im za pravdu – mliečne výrobky sú pre naše zuby naozaj prospešné. Sú veľkým zdrojom vápnika, ktorý je dôležitou zložkou ako skloviny, tak i dentínu. Podieľajú sa teda na prirodzenej obnove skloviny. Avšak, má to malý háčik! Na to, aby ste mali zuby naozaj zdravé, nestačí iba piť mlieko každý deň. Vápnik z mliečnych produktov, ale aj iných potravín, sa môže aj zachytávať na zubnom povlaku a spôsobovať zubný kameň. Nezabúdajte preto na pravidelné čistenie aj v oblasti krčkov zubov, ktoré sú tesne pri ďasne. Okrem vápnika obsahujú mliečne produkty aj kazeín, ktorý sa tiež podieľa pri obnove skloviny.
Mimoriadne prospešná pre naše zuby je aj vláknina. Prekvapení? Má totiž niekoľko výhod, ktoré pomáhajú nielen našim zubom. V prvom rade sa väčšinou nachádza v potravinách, ktoré musíme intenzívnejšie hrýzť, tým pádom sa nám tvorí viac slín, ktoré pomáhajú odplavovať baktérie alebo ich produkty. Rovnako tak pri hryzení dochádza k čiastočnému čisteniu zubov, čím sa sčasti zbavujeme zubného povlaku. No a v neposlednom rade podporuje naše trávenie, takže aj imunitu a my sme tak zdraví a zdravé máme aj zuby.
Čerstvá zelenina i ovocie sú pre naše zuby taktiež veľmi prospešné. Okrem toho, že väčšinou obsahujú vlákninu, ktorej výhody sme popísali vyššie, obsahujú aj množstvo vitamínov a minerálov, ktoré sú prospešné pre celý náš žuvací aparát. Ich hryzením si cvičíme žuvacie svaly a udržujeme v chode žuvací kĺb. V neposlednom rade sa zvyšuje aj tvorba slín, ktorá je dôležitá pre žiarivý úsmev. Niektorí tvrdia, že napríklad taká hruška dokáže neutralizovať kyseliny, ktoré pôsobia na sklovinu.
Ako posledné si spomenieme drobné potraviny, s veľkým účinkom na zuby. Sezamové semienka, tak tie vraj pôsobia na zuby ako pasta a dokážu ich očistiť a tým pádom chrániť. A čo by to bolo za zoznam pre zuby vhodných potravín, ak by tam neboli žuvačky?! Žuvačky bez príchute sú pre naše zuby prínosom, samozrejme, pokiaľ to s ich konzumáciou nepreháňame. Posilňujú svaly, podporujú tvorbu slín, neutralizujú pH v ústach a celkovo pozitívne vplývajú na celú ústnu dutinu. Takisto ako žujete ich, žujte aj potravu! Neprehĺtajte väčšie kúsky, ale snažte sa vždy všetko čo najlepšie rozhrýzť, pomôžete tým aj svojej váhe aj svojim zubom.
Zaujme ťa: Pieskovanie zubov: Získaj aj ty biele zuby bez námahy! Ako na to?
 
         
         
         
         
         
                 
             
         
         
         
         
         
         
         
         
         
        